We provide expert orthopedic care for children and adolescents, offering gentle, personalized treatment plans that support healthy growth and development.
Congenital & Developmental Conditions: Specialized treatment for conditions such as clubfoot, hip dysplasia, and limb deformities.
Fractures & Sports Injuries: Child-focused care for broken bones, growth plate injuries, and joint trauma with rapid, effective recovery strategies.
Growth Monitoring & Correction: Long-term solutions for leg length discrepancies, scoliosis, and spinal conditions to ensure proper alignment and mobility.



We provide advanced spine surgery to treat a wide range of spinal conditions, focusing on restoring stability, relieving pain, and improving mobility with the least possible disruption.


We offer advanced hip replacement surgery using minimally invasive techniques and modern implant technology to reduce pain and restore mobility.


We offer advanced knee replacement surgery using cutting-edge techniques and personalized implants to restore joint function and relieve chronic pain.



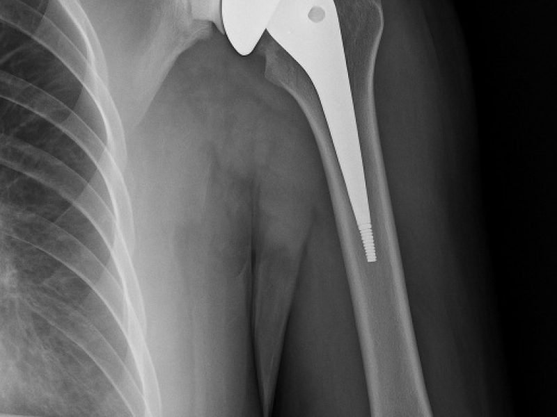
We provide advanced shoulder replacement surgery for patients suffering from arthritis, rotator cuff injuries, or severe joint damage, with the goal of restoring comfort and full range of motion.



We offer specialized hand and foot surgeries to treat injuries, deformities, and chronic conditions, using precise techniques to restore full function and mobility.




We offer safe and advanced limb lengthening procedures to correct discrepancies, improve body alignment, or achieve height enhancement through precise surgical techniques.


We provide specialized surgical care for pelvic injuries, using precise techniques to stabilize the pelvic structure and promote a safe, complete recovery.




We offer comprehensive pain management solutions for orthopedic conditions, focusing on reducing discomfort and improving quality of life through targeted therapies.





Compassionate, cutting-edge care for every step of your orthopedic journey.
Urgent orthopedic concerns? Our team is here to guide you any time, any day.
Personalized guidance and assistance before, during, and after your treatment.
Led by a board-certified orthopedic surgeon with a proven record of successful outcomes.
Your medical care and records are handled with complete confidentiality.
We use modern surgical techniques and the latest diagnostic tools.
Schedule virtual consultations with ease — from anywhere.